Smile Gallery
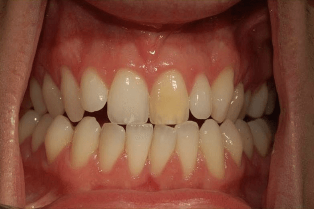
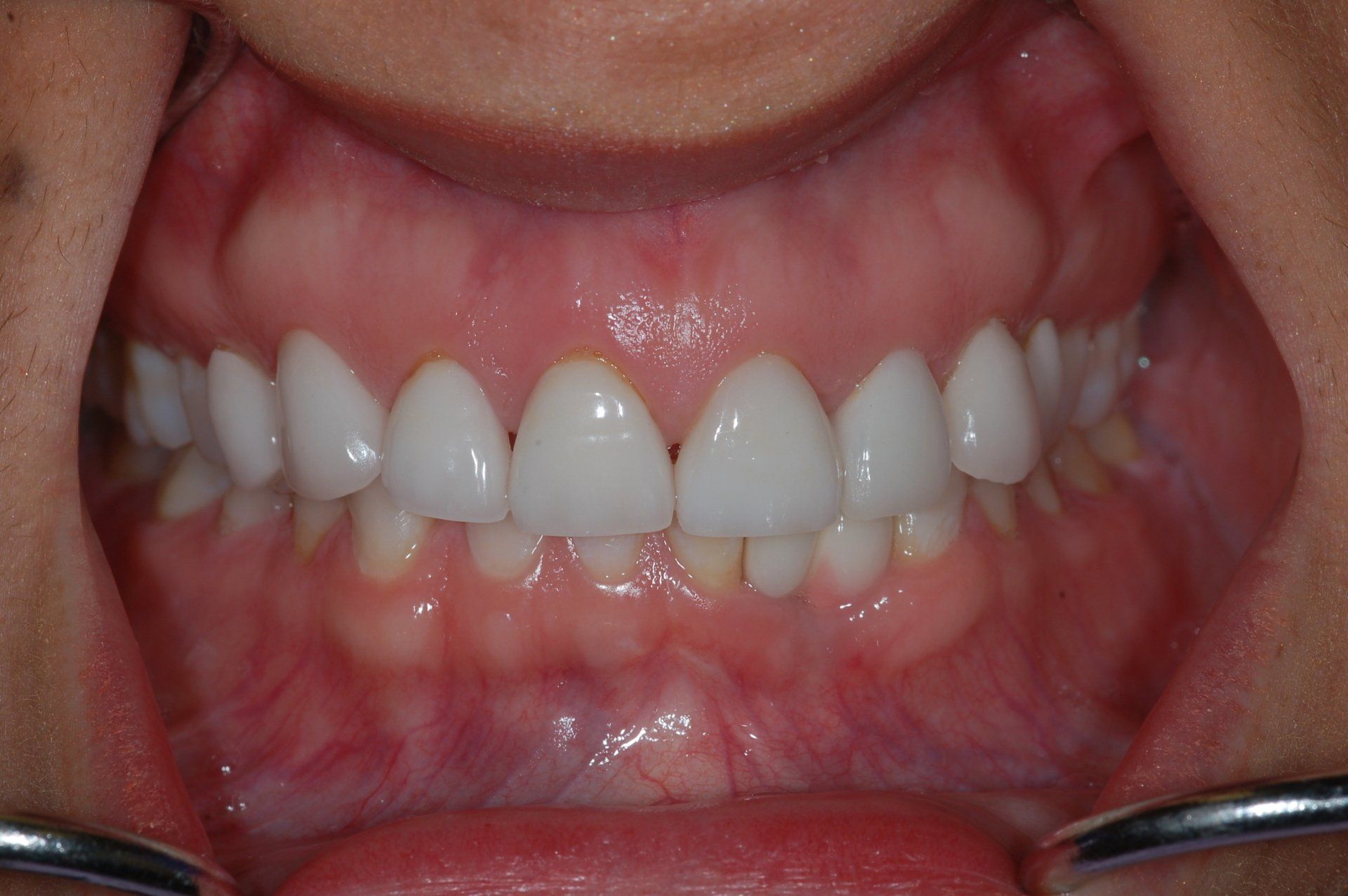
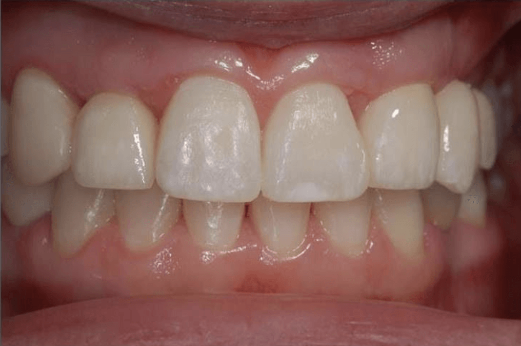
Single Porcelain Crown
Discoloured root canal treated tooth restored with a crown. You can hardly tell!
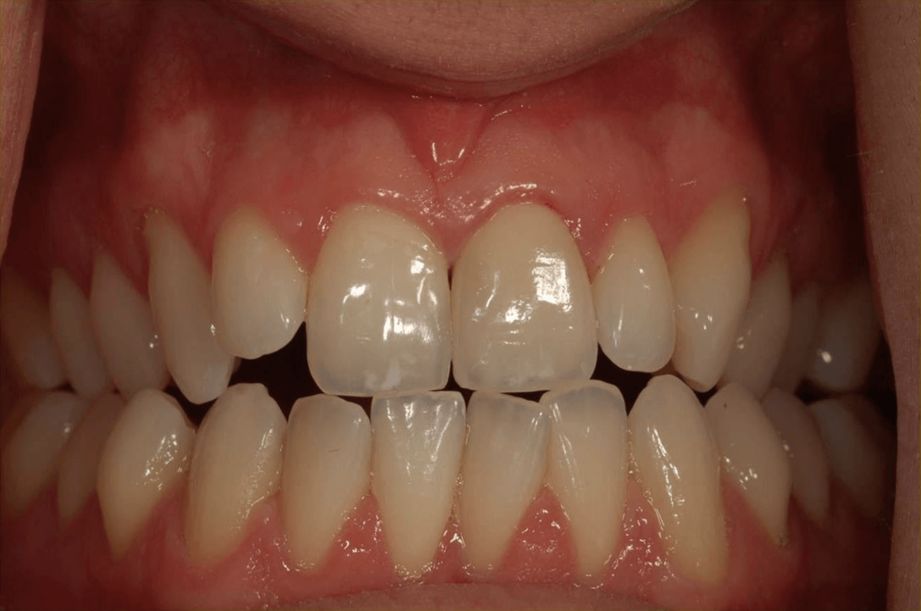
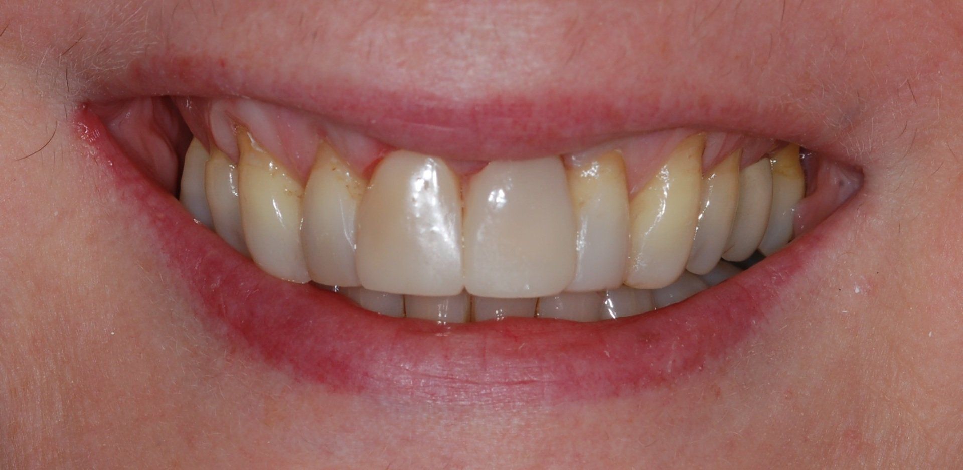
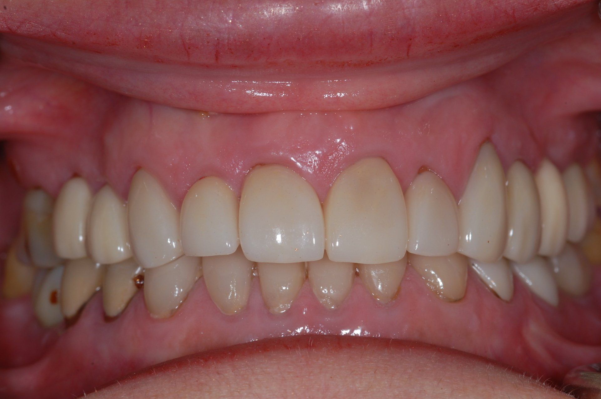
Porcelain Crowns
This patient was unhappy with the short length and discolouration of her teeth. We did a wax up study to evaluate the ideal size and length for her teeth. We then proceeded with six anterior porcelain crowns.
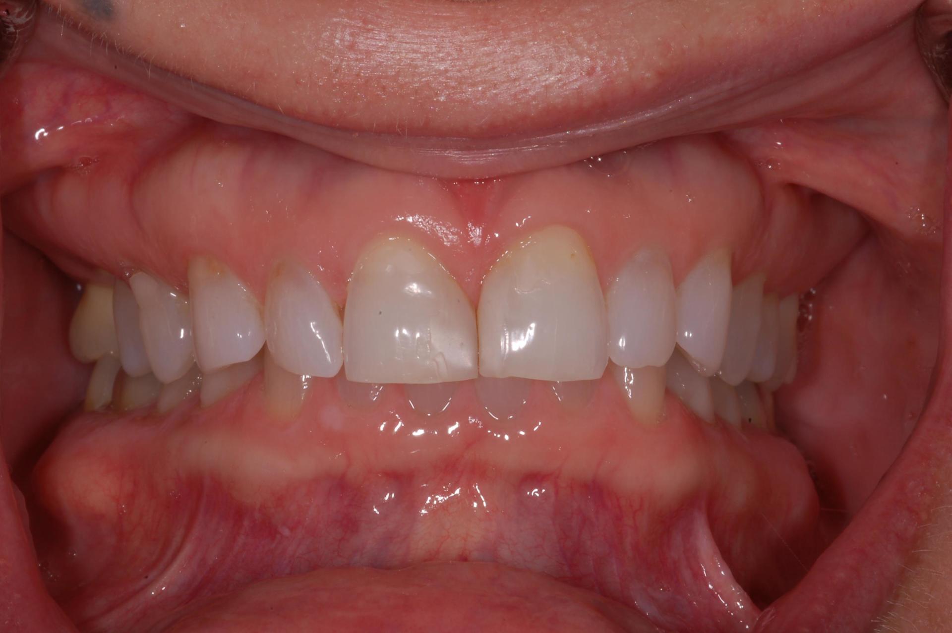
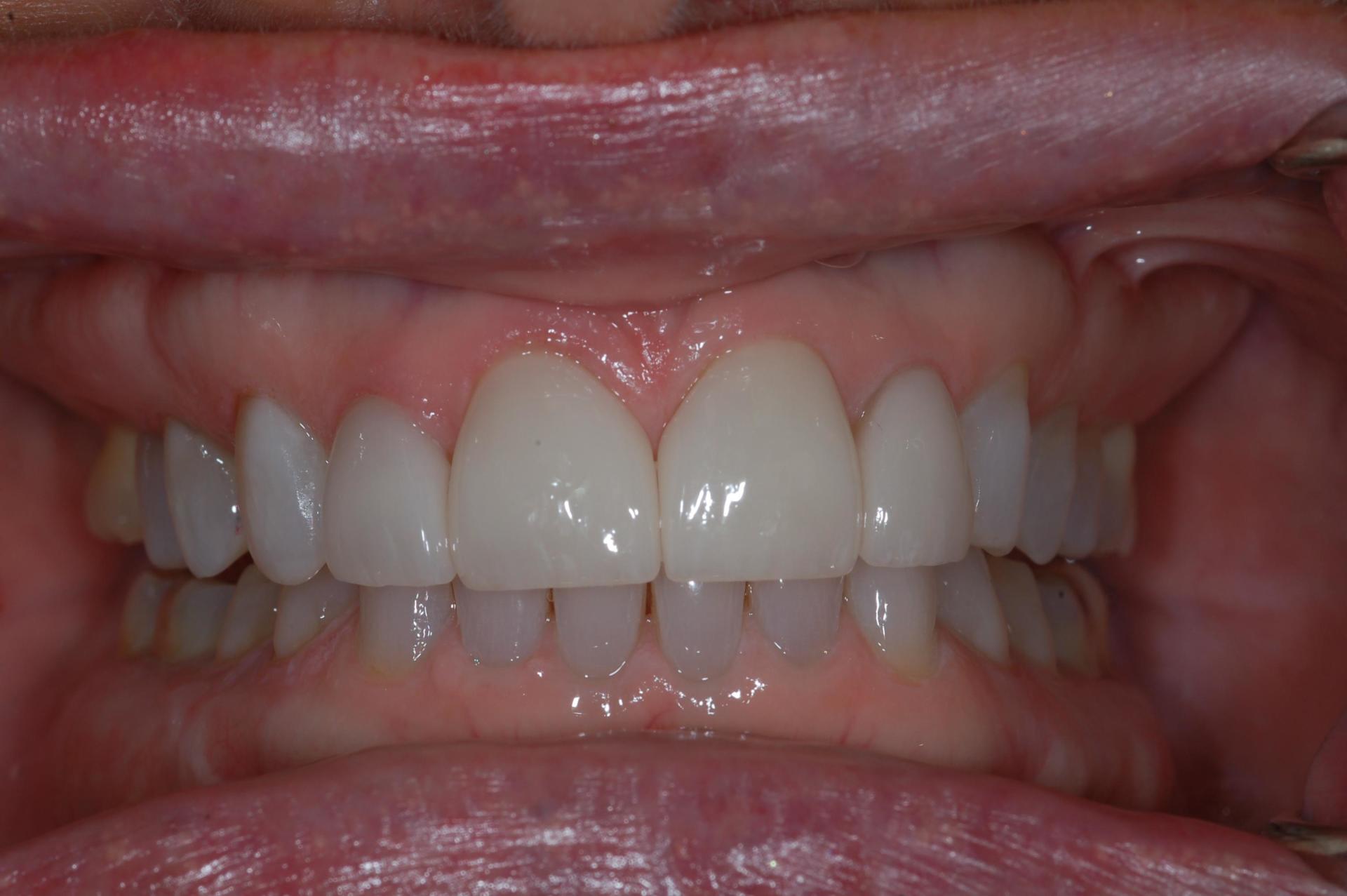
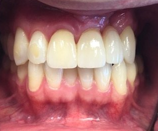
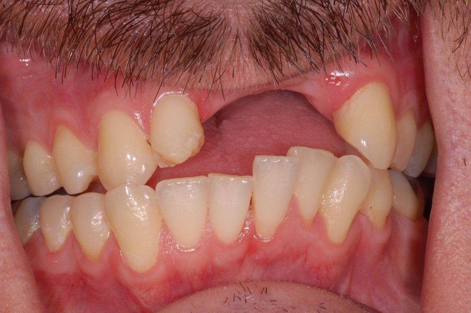
Resin Bonded Restorations (Composites)
This case illustrate a minor touch up with resin bonding. This is an alternative option when the patient does not want extensive treatment. One visit and no
anesthetic!
Anh,
Thanks again for helping make my smile look much better again. It was a big job working with healed broken bones also a long journey but an excellent one in the end.
Very well done ! I highly recommend to anyone to get their dental work done by you and yes, you chose a great career choice. You work very well with your patients and you do awesome work. Thank you again.
Lance Wartman
Testimonials
"I was referred to Dr. Nguyen in 2018. I was nervous about the amount of work that was required. She put me at ease; professional and considerate. Dr. Nguyen took the time to explain the procedure and the approximate costs involved. End result is that I am smiling more and being complimented by friends and strangers. The staff are friendly and professional. I highly recommend this practice for those who require exceptional care and service."
M. Sutherland
May 14, 2019
“I first met with Dr. Anh Nguyen in November 2008. With a transplant bone in my right lower jaw, crafting new dentures was a complicated procedure. Dr. Anh Worked with efficiency and compassion - a wonderful combination. During the entire process, she always demonstrated concern for my comfort level. As swelling receded, there were adjustments needed. Dr. Anh’s skills, and the professionalism of her and her staff, have been, and continue to be, appreciated. Now, eleven years later, I am privileged to consider Dr. Anh, not only a competent and compassionate prosthodontist, but also a friend.”
Dennis Clarke
June 10, 2019
























